FIT.nl

Alles over krachttraining, voeding en leefstijl

  • Wetenschappelijk onderbouwd
  • Website van het jaar 2021
  • ★ 32.737 klanten geholpen
Menu
FIT.nl
  • Terug
  • Artikelen
          • Afvallen
          • Cardio
          • Herstel
          • Krachttraining
          • Mindset
          • Professionals
          • Spiermassa
          • Voeding
          • Voedingssupplementen

          Verlies je sneller vet met cardio- of krachttraining?

          Hoe kun je genieten van het kerstdiner zonder aan te komen?

          Hoe vaak moet ik me wegen?

          Afvallen? De 5 beste vetverbranders

          Hoe snel verbetert je loopefficiëntie?

          Hoeveel zegt het herstel van je hartslag over je fitheid?

          Zone 2-training: hype of écht nuttig

          Hoe nauwkeurig meten sporthorloges je energiegebruik?

          Slaap je slechter door te veel CO₂ in je slaapkamer?

          8 uur slapen is optimaal? Dat is een fabel!

          Is een koudwaterbad goed voor je spierherstel?

          Hoe diepe slaap je hersenen schoonmaakt?

          Nieuw onderzoek: zwakkere squat door intermittent fasting?

          Meer spiermassa door te smokkelen met je uitvoering?

          Wat is een goede warming-up?

          Lengthened partials: de oplossing voor meer spiergroei?

          Gelukkiger door je telefoon minder te gebruiken? [nieuw onderzoek]

          10 tips om je goede voornemens wél te laten slagen

          Hoe leer je eetgewoontes af?

          Hoe een negatief zelfbeeld je leefstijlverandering kan saboteren?

          Beginnend voedingscoach? Deze 5 valkuilen verraden het direct

          Is snel afvallen een risico voor het jojo-effect?

          Waarom bewegen goed kan helpen bij overeten

          Coachen op zelfeffectiviteit: cruciaal voor gewichtsbehoud

          Is het mogelijk om je perfecte shape te behouden?

          Wat is een realistische transformatie in 1, 2 of 3 jaar?

          Meer spiermassa door een extreme bulk?

          Meer spiermassa door meer eiwitten tijdens het afvallen

          Onderzoek: veroorzaken milkshakes een ‘dopamine rush’ zoals drugs?

          Is ontbijten gezond?

          Verdeling van eiwitten minder belangrijk dan gedacht?

          Betere CrossFit prestaties door extra koolhydraten?

          5 redenen waarom je geen pre-workout moet kopen

          Sterker door ammonia te snuiven?

          Zijn supplementen gevaarlijk?

          4 redenen waarom je geen fatburners moet kopen

  • Tools
    • Fitnessoefeningen [video]
    • Voedingsschema
    • Fitnessschema
    • Begrippen
  • Podcast
    • Podcast voor consumenten
    • Podcast voor professionals
  • Recepten
    • Alle gezonde recepten
    • Vegetarische recepten
    • Vegan recepten
    • Koolhydraatarme recepten
  • CursusNIEUW
  • Shop ACTIE
  • Over ons
    • Over ons
    • Coaching
    • Vacatures
    • Adverteren
    • Nieuwsbrief
InloggenFIT PRO
Training & voedingsplan

Wat is jouw doel?

strength

Spiermassa

Meer kracht en spieren

slimming

Afslanken

Gewicht verliezen

overall health

Algehele fitheid

Op gewicht blijven

Volgende
bruin-vet
FIT.nl Blog De comeback van irisine,...
Jasper Gerbers
Auteur: Jasper Gerbers, MD & PhDMD & PhD
17 aug. 2015 geplaatst
31 mei. 2022 geüpdatet

Blog

De comeback van irisine, bron van bruin vet in volwassenen?

Blog

Niet alle soorten vet moeten we kwijt willen... Een recent artikel biedt nieuwe inzichten over het nut van bruin vet. Lees hier meer.
Jasper Gerbers
Auteur: Jasper Gerbers, MD & PhDMD & PhD

Inhoudsopgave

  • Wit vet -> bruin vet
  • Conclusie
Lees meer

Deel dit artikel

facebook whatsapp linklink gekopieërd!

Irisine is mogelijk het meest controversiële eiwit binnen de sportwetenschappen. In 2012 werd het door de onderzoeksgroep van dr. Spiegelman van de Harvard Medical School gevonden en als mogelijke bron van bruin vet in volwassenen genoemd. Vele artikelen over ‘sportpillen’  die snel afvallen mogelijk zouden maken volgden. Andere onderzoekers publiceerde artikelen die deze ontdekking echter tegenspraken. Een nieuw artikel van dr. Spiegelman in Cell Metabolism, gepubliceerd op 13 augustus, biedt nieuwe inzichten en bewijs voor hun theorie [1]. Gaat dit leiden tot ‘sportpillen’ die het effect van (top)sport simuleren?

Inhoudsopgave

  • Wit vet -> bruin vet
  • Conclusie

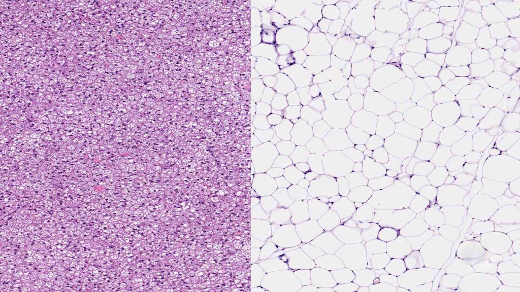
Wit vet -> bruin vet

De reden van de commotie? Het eiwit irisine kan volgens onderzoek ‘wit’ vet stimuleren om ‘bruin’ vet te worden. Als je als volwassen een goede maaltijd eet, worden de vetzuren die over zijn opgeslagen in je lichaam in vetcellen. Het verschil tussen deze twee soorten vet zit in de opbouw van de cellen: waar wit vet eigenlijk voornamelijk een opslagtank is van energie, is bruin vet metabool actief, het bevat namelijk veel meer mitochondrieën. De cellen kunnen het opgeslagen vet verbranden om het om te zetten in warmte. Bruin vet komt in de natuur veel voor in zoogdieren die actieve warmteregulatie nodig hebben, voornamelijk bij jongen voor wie kou gevaarlijk is bij een groot lichaamsoppervlak op een laag gewicht en weinig spiermassa. Ook komt het voor in zoogdieren die een winterslaap houden. Pasgeboren menselijke baby’s bestaan voor wel uit 5% bruin vet! Lang is gedacht dat bruin vet verdwijnt naarmate je volwassen wordt. Echter, onderzoek middels PET-beeldvorming laat zien dat volwassen het ook nog kunnen hebben, voornamelijk in de nek en romp. De theorie is dat je met meer bruin vet makkelijk vetzuren verbrandt.

Irisine is zo interessant omdat het mogelijk wit vet kan stimuleren om bruin vet te worden, en hiermee dus opgeslagen vet weet te verbranden. Het eiwit komt, volgens de groep van dr. Spiegelman, in de bloedbaan na sporten. Het zou in theorie actieve sporters mogelijk slank en tegelijkertijd warm kunnen houden. Het breekt af van het transmembrane eiwit FNDC5 dat extra aangemaakt wordt in spieren na belasting. Voornamelijk de manier van meten -middels antilichamen- werd aangevallen in de literatuur. De nieuwe studie van deze groep gebruikt een andere meetmethode: massaspectometrie. Ook probeert het ‘vervuiling’ van de meting door andere eiwitten te voorkomen. In rusttoestand werd een concentratie irisine in het bloed van 3.6 nanograms per milliliter gemeten. Na sporten bleek dit 4.3 ng/ml volgens de onderzoekers. 

Of we binnenkort een pil kunnen verwachten die je vet aanzet om opgeslagen energie te verbranden, is nog afwachten. De eerste reacties van de auteurs van het meest invloedrijke ’tegenpaper’ zijn nog volledig overtuigend. Zij konden in hun controlestudie weinig activiteit in FNDC5 translatie met het ATA startcodon in mensen vinden (wat zou betekenen dat het weinig effect zal hebben in mensen). Zij schrijven nu:

The mass spectrometry seems to be done very correctly but I think it is still a possibility that the 3 ng/mL concentration [protein] is a contaminant of some sort

De groep van dr. Spiegelman gaan door met het onderzoek. Ze zijn met een experiment bezig waar de functie van FNDC5 in muizen wordt getest door het uit te schakelen (knock-out mice) of te verhogen (transgenic mice). Ze kijken hierbij ook naar de functie van dit eiwit op je sportprestaties.

Conclusie

Er is nieuw bewijs voor één van de meest controversiële eiwitten in de sportgeneeskunde. Goed inzicht in dit biochemische proces zou in de toekomst  een ‘sport-pil’ mogelijk kunnen maken die ook niet actieve sporters zou kunnen helpen vet te verbranden. De wetenschappelijke discussie is echter nog volop gaande en meer onderzoek volgt.

Jasper Gerbers
Jasper Gerbers, MD & PhD
MD & PhD
Jasper is naast zijn werk als Orthopaedisch Chirurg en gepromoveerd onderzoeker (aandachtsgebied botkanker) een fitness- en wielren-enthousiasteling. Hij schrijft artikelen vanuit het medische/biologische standpunt en werkt samen met Stephan aan de uitbouw en ontwikkeling van de website. Zijn doel is: minder bro-science en meer wetenschappelijk onderbouwde informatie! Lees meer

Referenties

[1]

Jedrychowski et al. (2015). Detection and Quantitation of Circulating Human Irisin by Tandem Mass Spectrometry, Cell Metabolism 22, 1–7.

Lees meer

Andere artikelen voor jou

  • Voorbereiding voor een shoot of fitness wedstrijd: de peakweek

    Voorbereiding voor een shoot of fitness wedstrijd: de peakweek

    Meer informatie
  • Nieuwe Schijf van Vijf: veranderd maar ook verbeterd?

    Nieuwe Schijf van Vijf: veranderd maar ook verbeterd?

    Meer informatie
  • De invloed van het gewicht op de hersenen

    De invloed van het gewicht op de hersenen

    Meer informatie
  • Onderzoek: meer groente en fruit verkleint de kans op ziektes

    Onderzoek: meer groente en fruit verkleint de kans op ziektes

    Meer informatie

Geef een reactie Reactie annuleren

Je e-mailadres wordt niet gepubliceerd. Vereiste velden zijn gemarkeerd met *

Reacties zijn niet bedoeld voor persoonlijke vragen, stel deze vragen aan onze deskundigen op het forum.

Contact & adres:

E: team@fit.nl
T: 0502111871

Algemene voorwaarden
Recht op persoonsgegevens
Cookie verklaring
Privacyverklaring

Persoonlijk advies

Heb je een vraag over sport of voeding? Stel dan jouw vraag in de FIT-community. Hier staat ons team van experts klaar om jou te helpen met al je vragen.

Wil je 1 op 1 persoonlijk advies? Dan kun je bij ons terecht voor online coaching. Onze experts staan klaar om je te helpen.

Belangrijk

Deze site geeft geen medisch advies. Wanneer je gezondheidsklachten hebt raden wij je te allen tijde aan contact op te nemen met je huisarts (of eventueel specialist).

fitnl-logo
  • FIT-shop
  • Over ons
  • Contact